УДК 616-006.04
300026, пр. Ленина, 108, НИИ новых медицинских технологий; тел./факс: (0872) 33-22-09;
E-mail:niinmt@mednet.com
Изменяющиеся в результате антропогенного воздействия геоэкологические условия, социальный и экономический кризис неизбежно ведут к ухудшению показателей здоровья населения. Традиционные подходы к лечению ряда заболеваний, в частности онкологических, - оказываются неэффективными.
Новым подходом к восстановлению здоровья конкретного пациента явилась попытка изучения и компенсации последствий экстремальных ситуаций, нарушающих гомеостаз, изменяя микроциркуляцию в тканях. В качестве модели использовалась микроциркуляция в злокачественной опухоли и в трансплантате, извлеченном для включения в кровоток пациента, общим признаком которых являлись блокирование лимфотока и денервация.
Ранее проведенными исследованиями С.В.Дзасохов установил, что компенсацией лимфоблока является изменение направления микроциркуляции. При этом устраняется лимфостаз и исключается реакция отторжения трансплантированного аутооргана. Таким образом, выявлена значимость лимфообразования как вспомогательного гидродинамического механизма поддержания тканевого гомеостаза.
Разработанная методика использована у 63 пациентов с иммунодефицитными состояниями. У всех после трансплантации вилочковой железы достигнуто восстановление иммунитета [1].
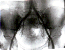
При изменении направления микроциркуляции в злокачественных
опухолях различного гистогенеза наблюдаются различные эффекты
в зависимости от показателей интенсивности фильтрации. При ее
10-кратном возрастании опухолевая ткань подвергается трансформации
в кость (Рис. 1, 2, 3, 4). При 20-крат-ном - опухолевые
клетки подвергаются некробиозу, в ранее аваскулярных зонах возникают
капиллярные сети, опухоль изолируется от окружающих тканей, она
сокращается в размерах более чем на 50% от исходных, исчезают
осложнения: кровотечения, боли и др.




Таким образом, ранее иноперабельные злокачественные образования, резистентные к лучевому и лекарственному лечению, становятся доступными как для традиционных методов лечения, так и для применения принципиально новых методик, направленных на восстановление способности организма к коррекции нарушенного гомеостаза. Прооперировано 12 больных.
Исследования в области физической биологии [2, 3] показали значимость разделяющих клетки узких каналов размерами до 150 ангстрем, заполненных жидкостью и служащих окнами в экстрацеллюлярное электрохимическое пространство. Эти каналы имеют высокую удельную электропроводность, превышающую аналогичную при трансмембранном пути. Следовательно, в этой среде распространение собственных и внешних электромагнитных полей (ЭМП) более предпочтительно. К тому же в межклеточное пространство выступают так называемые электрохимические антенны, представленные гликопротеиновыми тяжами, соединяющими клетку с внеклеточным матриксом. Они образуют отрицательно заряженный анионный гликокаликс, притягивающий катионную среду (ионы кальция и водорода - преимущественно). А в когерентном состоянии ЭМП на поверхности клеток модулируют процессы связывания или высвобождения кальция. При этом приток кальция внутрь клеток может модулироваться слабыми крайне низкочастотными ЭМП определенного узкополостного спектра. Модулированные сигналы при попадании внутрь клетки вызывают каскад ферментативных реакций, влияющий на метаболизм, информационные процессы и рост клеток [4, 5].
Видимо, эти биоэнергоинформационные процессы лежат
в основе эффекта методики реверсивного кровотока, модулирующего
адаптационные реакции на уровне микроциркуляторного русла. Исследования,
проводимые в НИИ новых медицинских технологий, обосновывая механизмы
взаимодействия полей и излучений с живым веществом, дают возможность
модифицировать предложенную С.В.Дзасоховым методику для повышения
степени управляемости отдельными звеньями саморегуляции.
1. Дзасохов С.В. Хирургическое лечение гипотимического синдрома / Дисс. докт. мед. наук.- Л., 1989.
2. Эйди Р. Электромагнитные взаимодействия на клеточных мембранах:перестройка стереотипа / В сб.: Двенадцатые сеченовские чтения.- М.: Изд-во РАН, 1956.- С. 3-21.
3. Blackman C.F. et al. / Effects of ELF (1-120 Hz) and Modulated (50 Hz) RF Fields on the Efflux of Calcium Ions from Brain Tissue, in vitro // Bioelectromagnetics.- 1985.- ¦ 6.- Р. 327-328.
4. Lin-Liu S. Adey W.R./Low Frequency Amplitude-Modulated Microwave Fields Change Calcium Efflux Rates from Synaptosomes // Bioelectromagnetics.- 1982.- ¦ 3.- Р. 309-322.
5. Walleczek J. / Immune Cell Intractions
with Extremely Low Frequence Magnetics Fields: Experimental Verification
and Free Radical Mechanisms // In on Nature of Electromagnetic
Field Interactions with Biological Systems, Frey AH, ed. RG Landes
Company, Austin TX.- 1994.-P. 167-180.
The authors show that reversal of microcirculation
in malignant tumors of different histogenesis results in a variety
of the effects depending on a filtration intensity. These affects
can manifest themselves in a bone transformation of tumor cells
or even in tumor necrobiosis. Such an approach makes it possible
to treat patients by conventional methods and fundamentally new
ones as well.